The Dennis P. Han, MD Advanced Ocular Imaging Program (AOIP)
Detection, Diagnosis, and Management of Eye Disease

Research
Our focus is to develop imaging tools, software, and approaches that enable earlier detection of disease, as well as more precise classification of disease - both of which provide a valuable starting point for efforts to treat eye disease.
Learn More
Our Team
Beyond the lab space and cutting-edge imaging technology, the AOIP thrives because of its people.
Meet Our Team
Publications
The AOIP publishes the results of their studies in top peer-reviewed journals in our field, and our team presents frequently at national and international conferences.
Read More
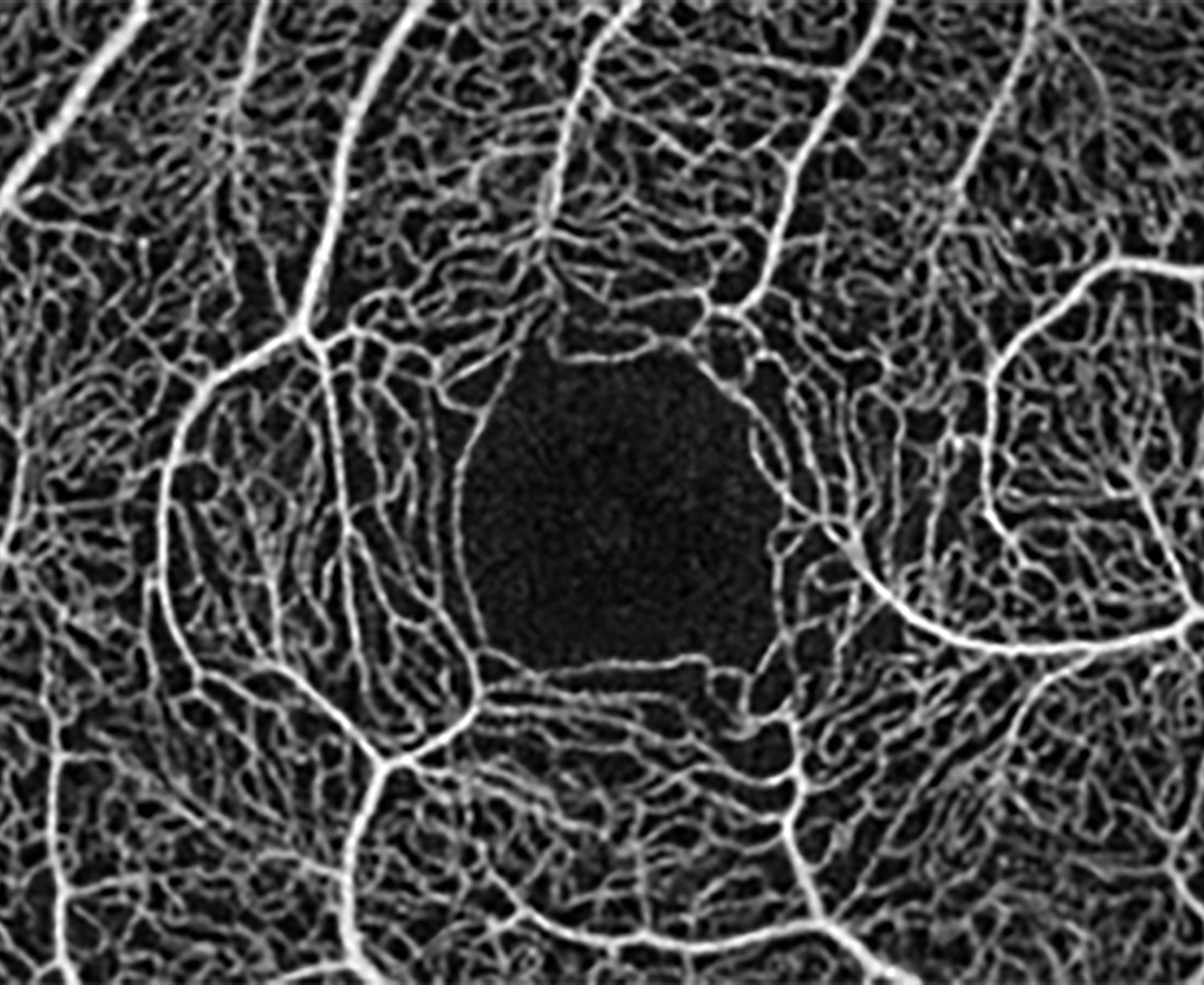
Image Gallery
The AOIP uses a wide range of imaging modalities to study the human visual system.
View GalleryAOIP by the Numbers
Our Program
Our History
Join Our Team
Currently Enrolling Research Studies
Collaborate
Support the AOIP
Contact Us
Dennis P. Han, MD Advanced Ocular Imaging Program
925 N. 87th St.
Milwaukee, WI 53226
(414) 955-AOIP (2647)
(414) 955-6690 (fax)
aoip@mcw.edu